• <li id="ee8ee"></li>
    <li id="ee8ee"><tt id="ee8ee"></tt></li>
  • <li id="ee8ee"></li>
  • <li id="ee8ee"><table id="ee8ee"></table></li>
    <tt id="ee8ee"><table id="ee8ee"></table></tt>
  • <li id="ee8ee"><tt id="ee8ee"></tt></li>
    <li id="ee8ee"></li>
  • <tt id="ee8ee"></tt>
    Facebook Twitter 新浪微博 google plus Instagram YouTube Thursday 6 August 2015
    Search
    Archive
    English
    English>>

    Techniques to provide insight for observing life process (4)

    (Xinhua)    09:11, August 06, 2015
    Email|Print
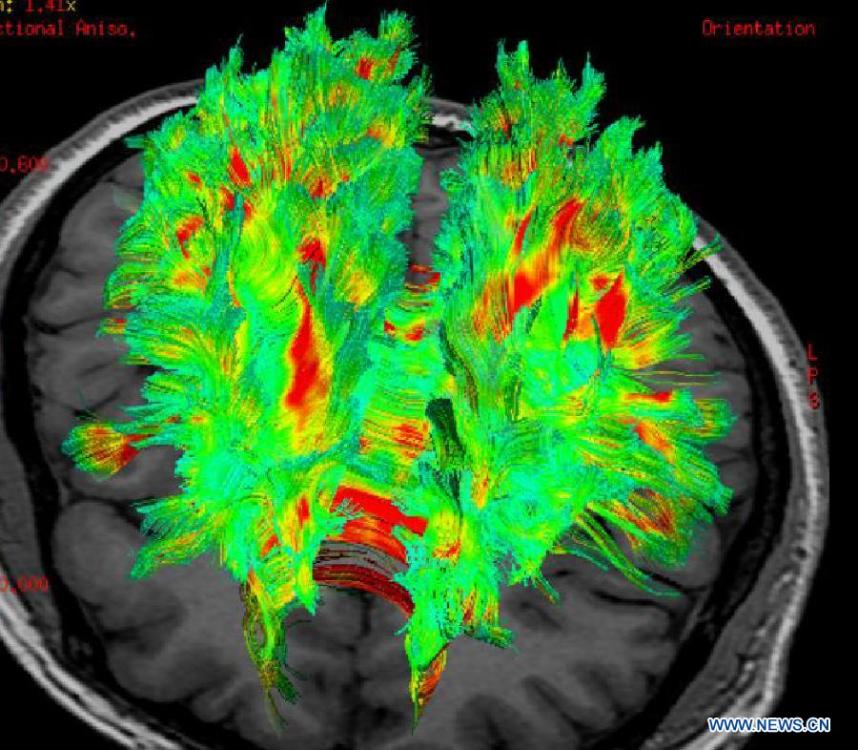
    Photo provided by Xinqiao Hospital of Third Military Medical University in southwest China's Chongqing on Aug. 5, 2015 shows a 3D image of white matter of brain by 3.0 tesla (3.0T) MRI. The university took a series of photos of organs and tissues of human body in microscopic level by using techniques like nuclear magnetic resonance (NMR), color ultrasonography and confocal laser scanning microscopy. Such techniques and photos will provide an insight for observing life process and guide accurate surgeries for medical staff. (Photo/Xinhua)

    【1】【2】【3】【4】【5】【6】【7】【8】

    (For the latest China news, Please follow People's Daily on Twitter and Facebook)
    (Editor:Zhang Qian,Bianji)

    Add your comment

    Most Viewed

    Day|Week

    Hot News

    We Recommend

    Photos

    prev next

    Related reading

    手机在线观看日韩av